แพทย์ เผยเชื้อโควิด-19 จากสนามมวย แท้จริงมาสายพันธุ์อิตาลี ซึ่งต่างจาก สายพันธุ์จีนสิ้นเชิง
เพจเฟซบุ๊ก หมอมนูญ ลีเชวงวงศ์ FC ได้โพสต์ข้อความเกี่ยวกับสถานการณ์ โควิด-19 ว่า การระบาดจากสนามมวย ต้นตอมาจาก ลูกชายเซียนมวยคนหนึ่งที่มาจากอิตาลี และสายพันธุ์ โควิด -19 อิตาลี แตกต่างจากสายพันธุ์ประเทศจีน และเซียนมวยรายนี้ได้กลายเป็น super spreader โดยมีรายละเอียดข้อความดังนี้

ศึกโควิด-19 ครั้งนี้ใหญ่หลวงนัก ในช่วงแรกๆของการระบาดของไวรัสโควิด-19 ประเทศไทยดูดีเพราะมีผู้ติดเชื้อแค่ 30-40 รายเสียชีวิต 1 รายและนิ่งอยู่นานหลายสัปดาห์ คนไทยส่วนใหญ่ขณะนั้นติดเชื้อโควิดจากประเทศในเอเชีย เช่นญี่ปุ่น เกาหลีใต้ ฮ่องกง
หลังจากรายการมวยแชมเปี้ยนเกียรติเพชรวันที่ 6 มีคที่สนามมวยลุมพินี สถานการณ์เปลี่ยนไป เท่าที่ทราบมีเซียนมวยคนหนึ่งติดเชื้อโควิดจากคนในครอบครัวซึ่งเดินทางกลับจากประเทศอิตาลี เซียนมวยคนนี้เป็น Super spreader แพร่เชื้อให้คนที่มาสนามมวยวันนั้นมากกว่า 50 คน และคนป่วยที่ติดเชื้อนี้กำลังแพร่กระจายให้คนอื่นต่อไปเป็นวงกว้างไปจังหวัดต่างๆทั่วประเทศ

มองย้อนหลัง ถ้าเราปิดสนามมวยนี้และสถานที่ที่มีคนรวมกลุ่มทำกิจกรรมกันมากๆตั้งแต่ต้นเดือนมีนาคม เหตุการณ์นี้คงยังไม่เกิดขึ้นถ้าเราสืบค้น และกักกันทุกคนที่มาสนามมวยวันนั้นให้อยู่บ้านเป็นเวลา 14 วัน จำนวนคนป่วยคงไม่เพิ่มขึ้นมากอย่างที่เห็น
แต่ที่ร้ายที่สุดคือเชื้อโควิดนี้ต้นตอมาจากประเทศอิตาลี ประเทศอิตาลีเริ่มมีการระบาดปลายเดือนมกราคม การระบาดเป็นไปอย่างรวดเร็วมาก และยอดผู้เสียชืวิตพุ่งสูงมาก ยอดรวมการเสียชีวิตของประเทศอิตาลีพุ่งแซงหน้าจีนขึ้นมาอันดับหนึ่งของโลก ประเทศอิตาลีมีผู้ติดเชื้อ 47021 คน ยอดเสียชีวิต 4032 คน อัตราตายของโรคโควิด-19 ในประเทศอิตาลี 8.6 % เทียบกับผู้ติดเชื้อในเกาหลีใต้ 8799 ราย มีผู้เสียชีวิต 102 ราย อัตราตายของโควิดในประเทศเกาหลีใต้ 1.1 %

ทำไมไวรัสโควิด-19ในประเทศอิตาลีถึงระบาดอย่างรวดเร็วและรุนแรง
มีคนอธิบายว่าอิตาลีเป็นประเทศที่มีประชากรสูงอายุมาก แต่ประเทศญี่ปุ่นก็มีผู้สูงอายุมากกว่า 65 ปีขึ้นไปถึง 28% กลับมีผู้ติดเชื้อ 1007 ราย เสียชีวิต 35 ราย
สาเหตุที่สำคัญน่าจะเป็นจากเชื้อไวรัสโควิด-19 ในประเทศอิตาลีเป็นเชื้อสายพันธุ์ที่ดุร้ายกว่าประเทศอื่นในเอเชีย สามารถเพิ่มจำนวนในปอดได้รวดเร็ว ทำให้แพร่กระจายเชื้อให้ผู้อื่นมากขึ้น และเชื้อนี้เล่นงานปอดอย่างหนัก ทำให้ปอดอักเสบอย่างรุนแรง ระบบหายใจล้มเหลว อัตราการเสียชีวิตจึงสูงมาก

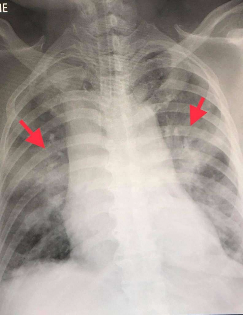
ประเทศไทยกำลังมีเชื้อโควิดที่ดุร้ายจากประเทศอิตาลีแพร่ระบาด ยอดผู้ป่วยติดเชื้อรายใหม่ ดูรูป และผู้เสียชีวิตจากปอดอักเสบกำลังจะเพิ่มขึ้นอย่างรวดเร็ว สำหรับผู้ป่วยที่ติดเชื้อโควิดรายใหม่ที่เกี่ยวข้องกับสนามมวย แพทย์คงต้องให้ยาต้านไวรัสตัวใหม่จากประเทศญี่ปุ่น ชื่อยา Avigan คือฟาวิพิราเวียร์ Favipiravir และยาอื่นๆเช่น hydroxychloroquine เพราะผู้ป่วยรายใหม่กลุ่มนี้จะมีปอดอักเสบมากขึ้น ถ้าไม่ให้ มีโอกาสปอดล้มเหลวสูง

ขอให้ทุกคนช่วยกันปฎิบัติตามคำสั่งของรัฐบาล อยู่บ้าน เว้นระยะห่างจากสังคม 2 เมตร ที่สำคัญคนป่วยต้องไม่แพร่เชื้อให้ผู้อื่น ไอจามใส่หน้ากาก ไอจามใช้มือป้องต้องรืบล้างมือ คนทั่วไปหมั่นล้างมือบ่อยๆ อย่าเอามือที่ยังไม่ได้ล้างมาจับตา จมูกและปาก ไปสถานที่ชุมชนคนมากๆ ใส่หน้ากากอนามัย
ขอบคุณที่มาจาก matichon


