ด่วน เปิดภาพปอดจากผู้ป่วย ไวรัส RSV ปอดเเหว่งเป็นเเถบ
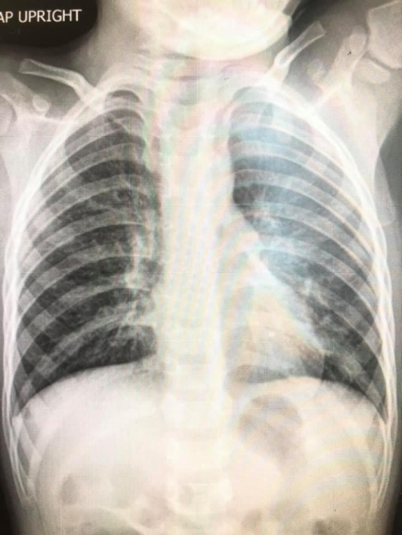
วันนี้ ( 6 พ.ย. 63 )เพจ Infectious ง่ายนิดเดียว ได้เปิดเผยภาพฟิล์มเอ็กซเรย์ปอด เด็กที่มี อาการจาก ไวรัส RSV พร้อมระบุข้อความว่า
เพจดังเผย 10 ข้อเท็จจริงเกี่ยวกับ "ไวรัส RSV"
จับสังเกตลูกน้อย อาการแบบไหนติดเชื้อไวรัส RSV
พ่อแม่สุดเศร้า ไวรัส RSV คร่าชีวิตลูกน้อยวัยเพียง 10 เดือน

" รวมฟิล์มปอดเด็กที่มีอาการจาก ไวรัส RSV 10 คน ที่แอดมิดวินิจฉัยหลอดลมอักเสบ ปอดอักเสบ
ความจริงของ อาการจาก ไวรัส RSV
1.มาด้วยอาการ ไข้ ไอ เสมหะ หอบเหนื่อย มีอาการน้อยถึงรุนแรง
2. อาการของ ไวรัส RSV มักพบในเด็กอายุน้อยกว่า 5 ปี ยิ่งอายุน้อยยิ่งรุนแรง กลุ่มเสี่ยง คือ อายุน้อย มีโรคประจำตัวปอดหรือหัวใจ คลอดก่อนกำหนด
3.การวินิจฉัย อาการและอาการแสดงป้ายเสมหะ หาเชื้อ
4.ไม่มียารักษา
เปิดภาพปอดจากเด็กที่ป่วย ไวรัส RSV ชี้ทำหลอดลม-ปอดอักเสบ
5.การรักษาตามอาการ ไวรัส RSV
- พ่นยา
- ดูดเสมหะ
- ให้ออกซิเจน
6.ไม่มีวัคซีนป้องกัน ไวรัส RSV

7.การพยากรณ์โรค ไวรัส RSV
ปอดบวม ปอดอักเสบ ใช้เวลารักษา 3-7 วันกรณีไม่รุนแรง ถ้ารุนแรงอาจใช้เวลา 10-21 วัน
8.การป้องกัน
ล้างมือ สวมหน้ากาก รักษาระยะห่าง งดไปแหล่งคนเยอะ ทำความสะอาดของเล่น ผู้ใหญ่หรือเด็กป่วยงดเล่น จูบ หอม กับคนปกติ
ขอบคุณที่มาจาก Infectious ง่ายนิดเดียว





